- 9.Small intestine, Large intestine
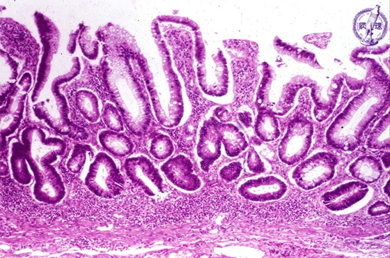
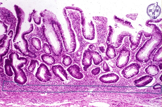
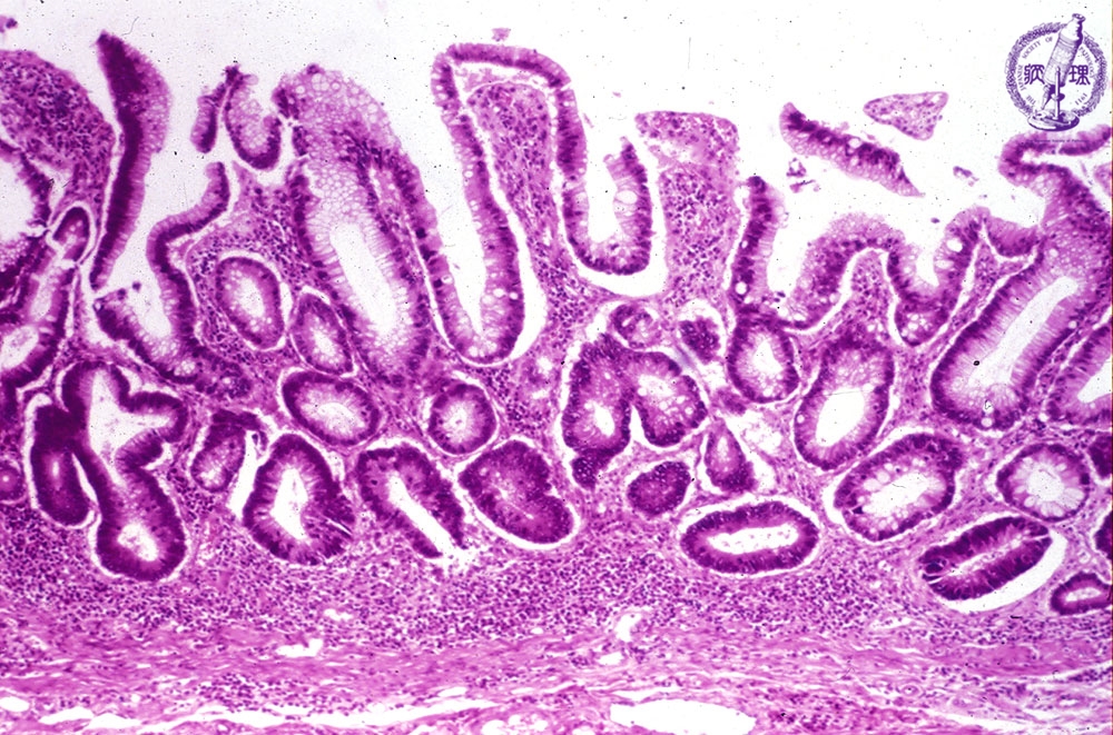
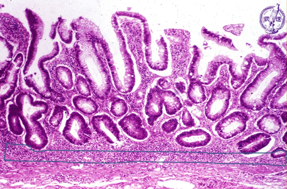
- ★(4)Ulcerative colitis
Microscopic view (H&E stain, intermediate power): Chronic ulcerative colitis shows dissociation of the epithelium from the muscularis mucosa, irregularly branched glands and decreased goblet cells.
Click the image to see the enlarged image.













