- 9.Small intestine, Large intestine
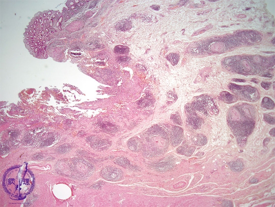
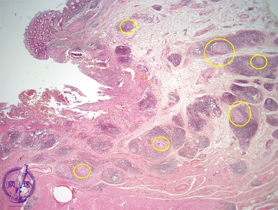
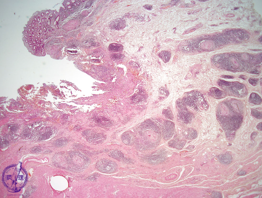
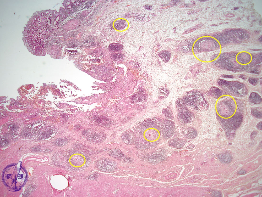
- (5)Intestinal tuberculosis
Microscopic view (H&E stain, low power): Multiple caseating granulomas are seen forming in the bed of an ulcer which shows characteristic undermined edges.
Click the image to see the enlarged image.













