- 9.Small intestine, Large intestine
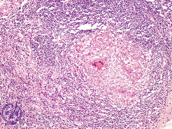
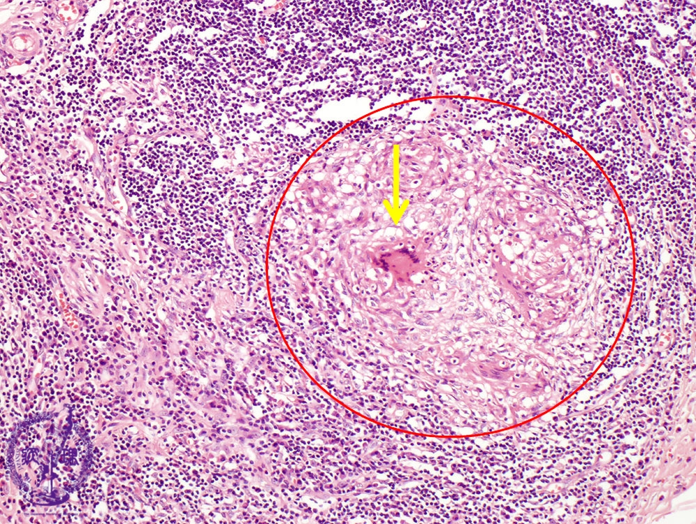
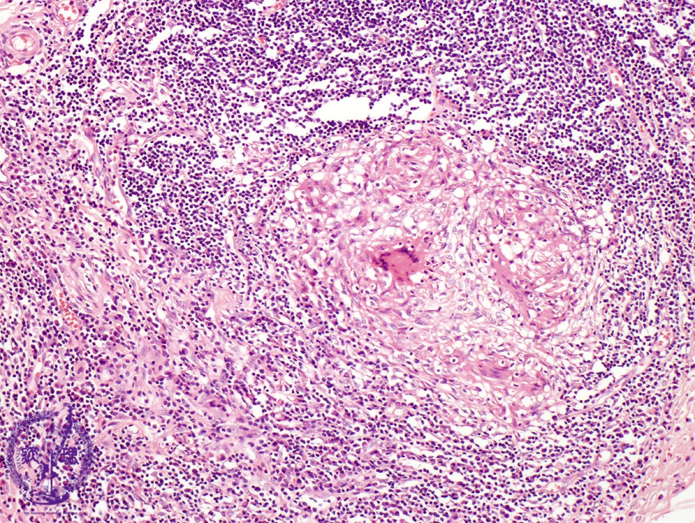
- (5)Intestinal tuberculosis
Microscopic view (H&E stain, high power): Epithelioid granulomas are composed of Langhans type giant cells (arrow).
Click the image to see the enlarged image.
Microscopic view (H&E stain, high power): Epithelioid granulomas are composed of Langhans type giant cells (arrow).
Click the image to see the enlarged image.