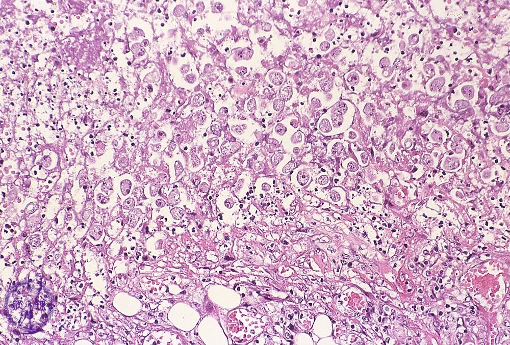
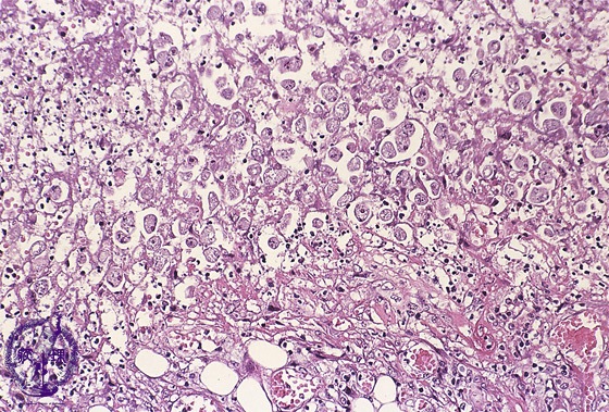
Microscopic view (H&E stain, high power): Many amoeba trophozoites are seen forming cysts.

Click the image to see the enlarged image.

  • There is no guidance by arrows.