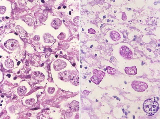
Microscopic view (high power, left: H&E stain, right: PAS stain): Cystic amoeba trophozoites are present. The parasites are PAS stain positive.

Click the image to see the enlarged image.

  • There is no guidance by arrows.