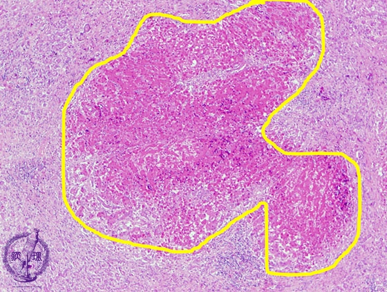
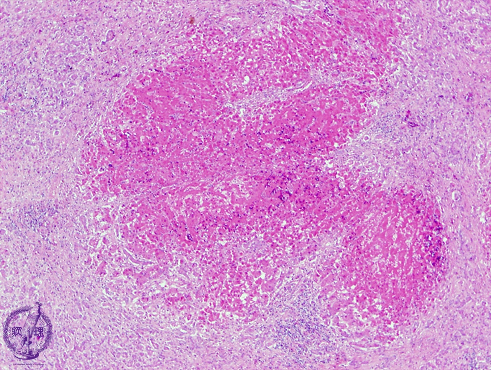
- 10.Liver
- ★(3)Fulminant hepatitis
Microscopic finding (HE stain, low power view): Irregular necrotic foci show eosinophilic change.
Click the image to see the enlarged image.
Microscopic finding (HE stain, low power view): Irregular necrotic foci show eosinophilic change.
Click the image to see the enlarged image.