- 10.Liver
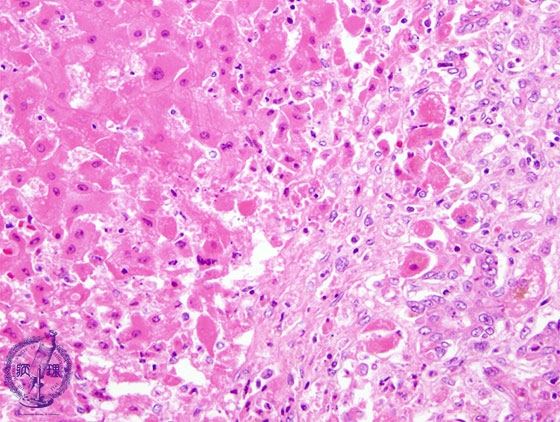
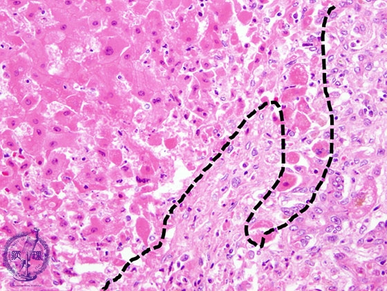
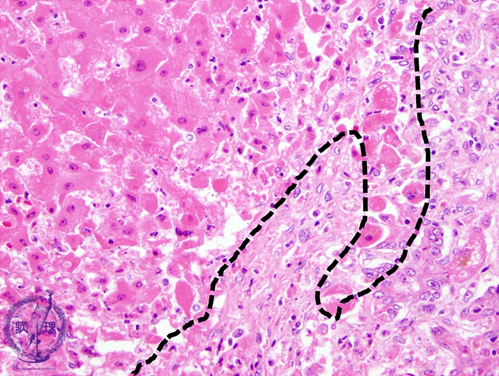
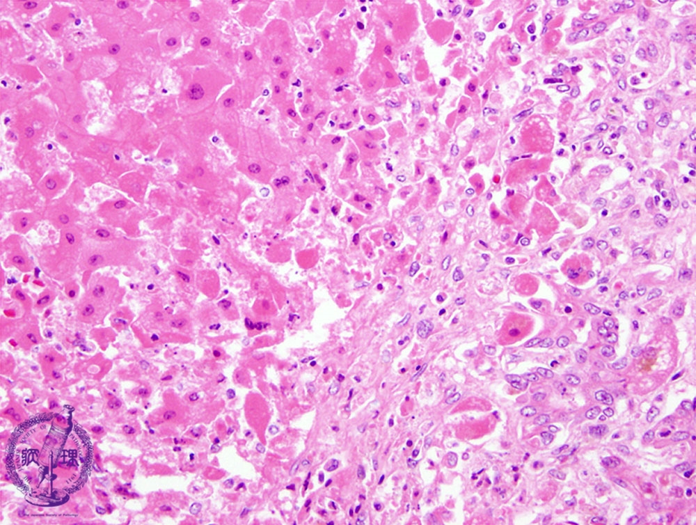
- ★(3)Fulminant hepatitis
Microscopic image (HE stain, high power): There is an interface between necrotic (left of the dotted line) and non-necrotic areas; the necrotic hepatocytes are swollen and more eosinophilic.
Click the image to see the enlarged image.













