- 10.Liver
- (5)Wilson's disease
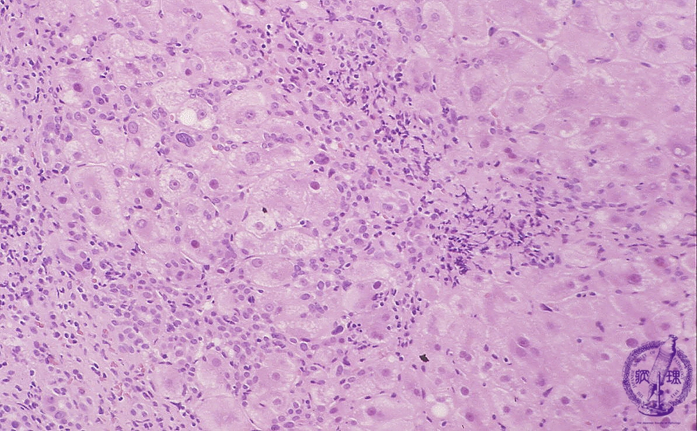
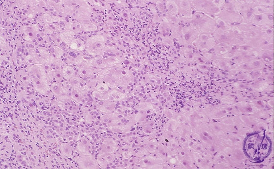
Microscopic finding (HE stain, intermediate power): There is interface hepatitis composed of lymphocytic infiltration and destruction of the limiting plate. The changes are similar to chronic active hepatitis with portal fibrosis, ballooning hepatocytes and necrosis.
Click the image to see the enlarged image.










