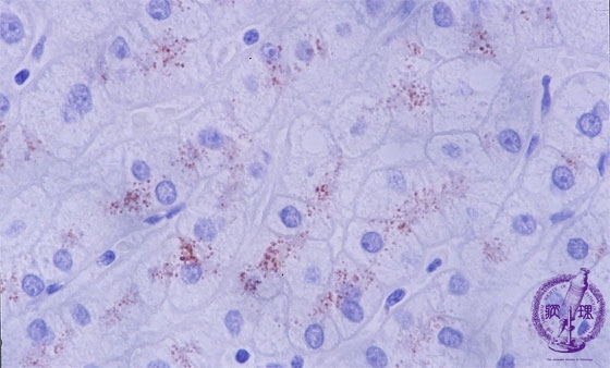
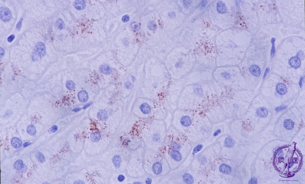
- 10.Liver
- (5)Wilson's disease
Microscopic image (copper stain (rubeanic acid stain), high power): Reddish brown staining copper granule deposits are seen mostly within the hepatocytes adjacent to bile canaliculi and are predominantly perinuclear.
Click the image to see the enlarged image.













