- 11.Gallbladder, Pancreas
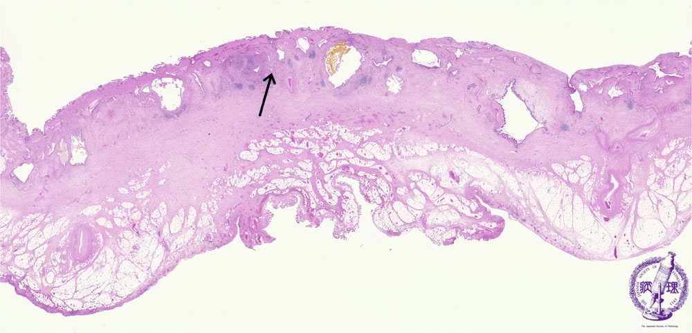
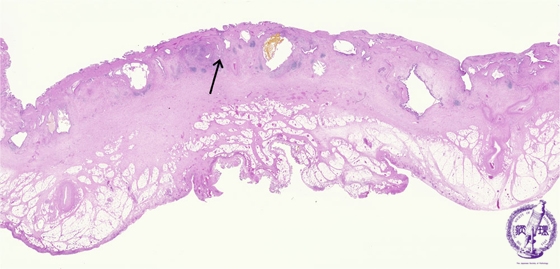
- ★(1)Cholelithiasis ・Chronic cholecystitis
Microscopic image(HE stain, loupe view):The gallbladder is markedly thickened with fibrosis which involves the mucosal, muscular, and subserosal layers. Many epithelial lined cyst-like invaginations form sinus tracts which penetrate the muscularis into the subserosa (Rokitansky-Aschoff sinuses). At the center, bile congestion (tan) is observed in a Rokitansky-Aschoff sinus.
Click the image to see the enlarged image.










