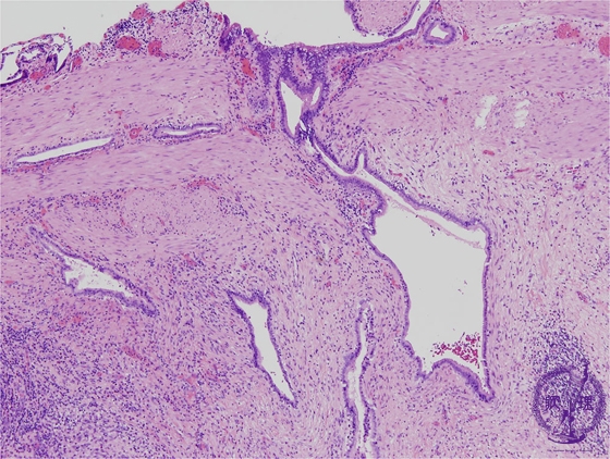
Microscopic image(HE stain, intermediate power):A (Rokitansky-Aschoff) sinus is observed as an invagination of the mucosa through the muscularis, into the subserosa. Nearby, there is fibrosis and a chronic, predominantly lymphocytic infiltrate.

Click the image to see the enlarged image.

  • There is no guidance by arrows.