- 12.Kidney and Urinary System
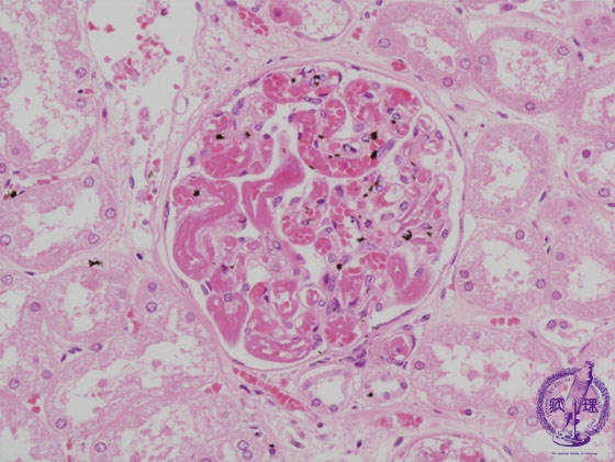
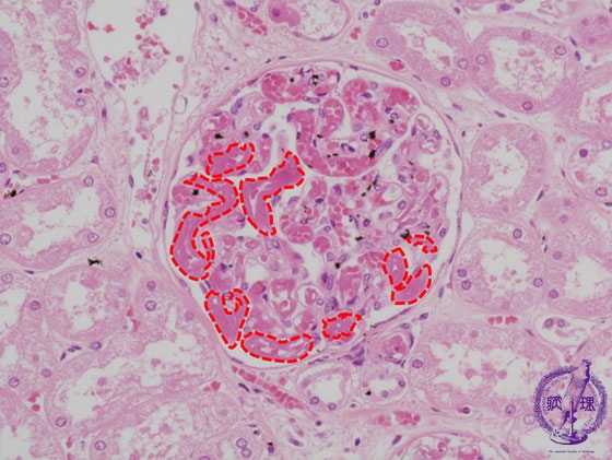
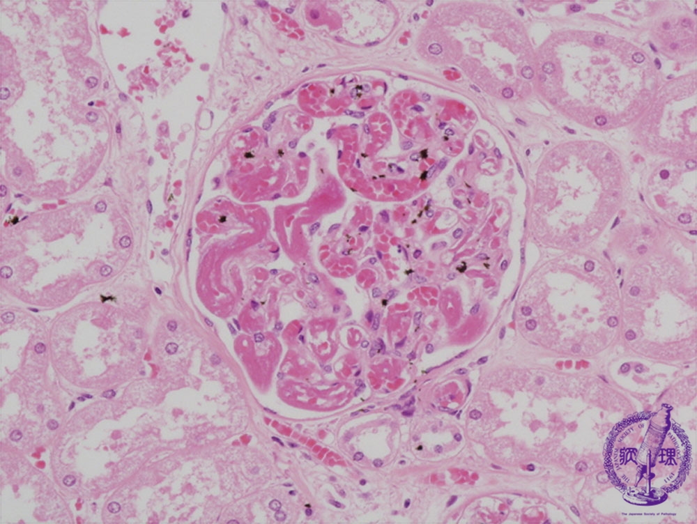
- ★(9)Disseminated intravascular coagulation (DIC)
Microscopic findings ( HE,high power): Fibrin microthrombi within capillaries of glomerular loops (red dotted line).
Click the image to see the enlarged image.
Microscopic findings ( HE,high power): Fibrin microthrombi within capillaries of glomerular loops (red dotted line).
Click the image to see the enlarged image.