- 12.Kidney and Urinary System
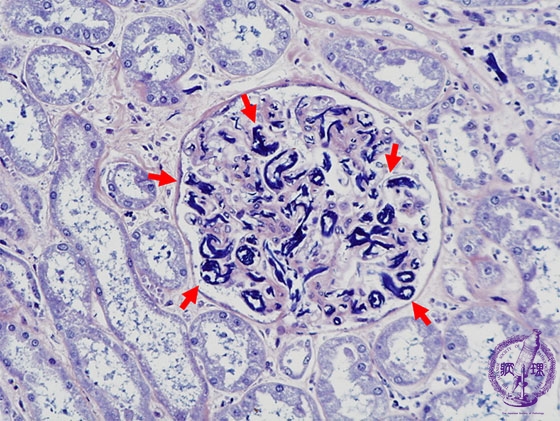
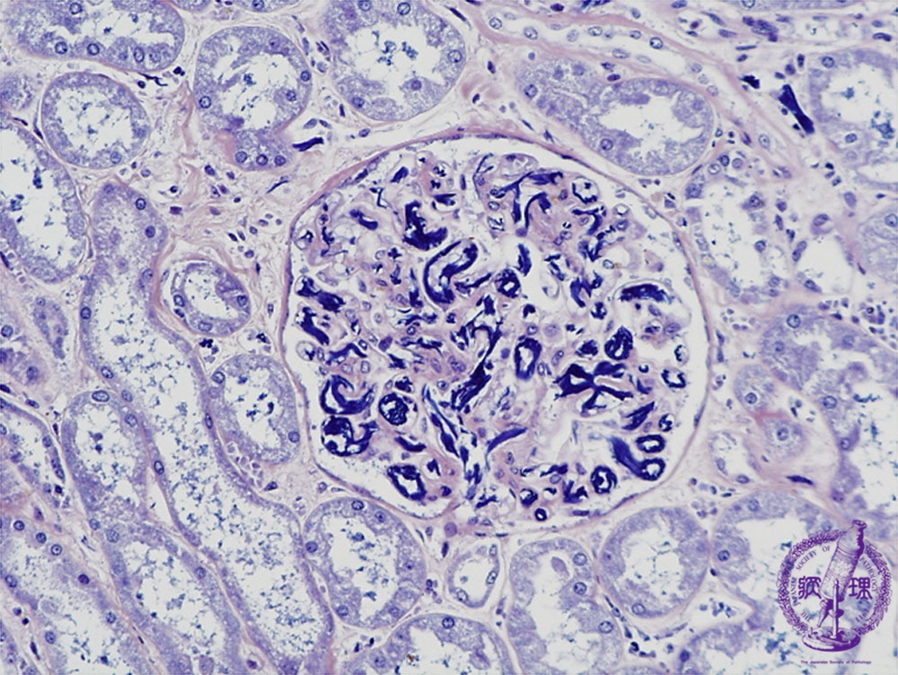
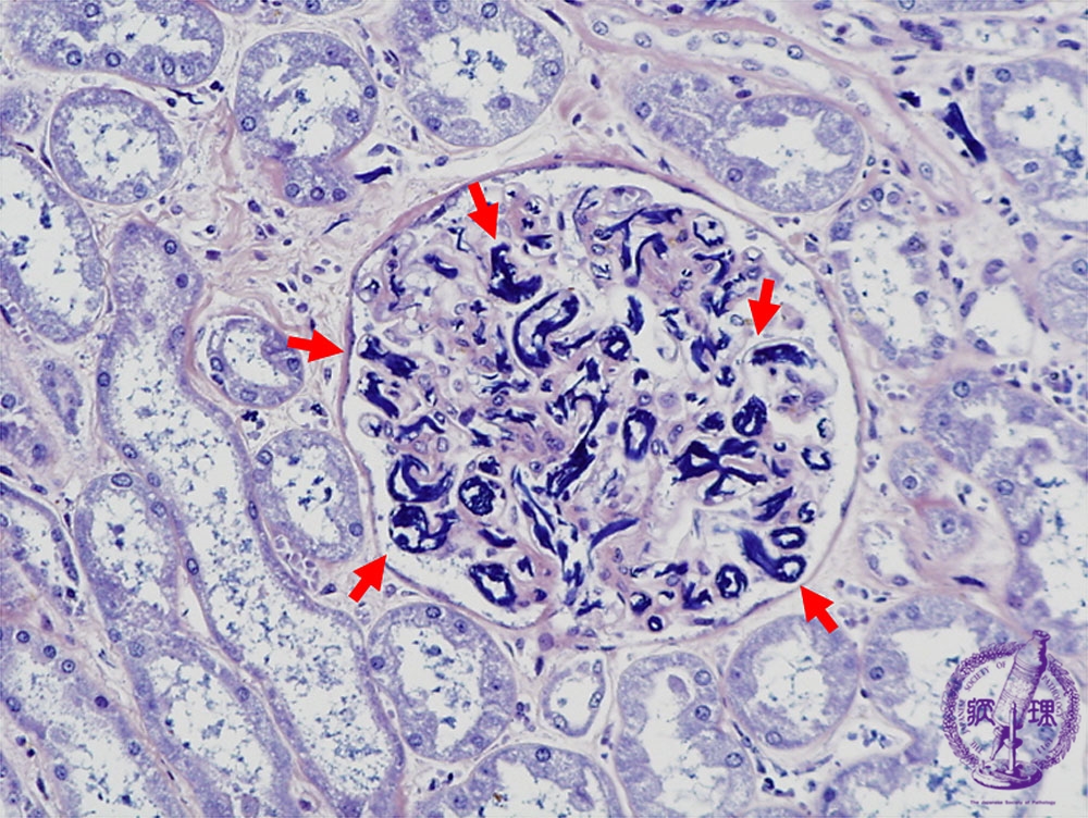
- ★(9)Disseminated intravascular coagulation (DIC)
Microscopic findings (PTAH, high power view): Microthrombi within glomerular capillary lumens are highlighted by PTAH which stains nuclei and fibrin blue (red arrows).
Click the image to see the enlarged image.












