- 12.Kidney and Urinary System
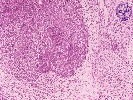
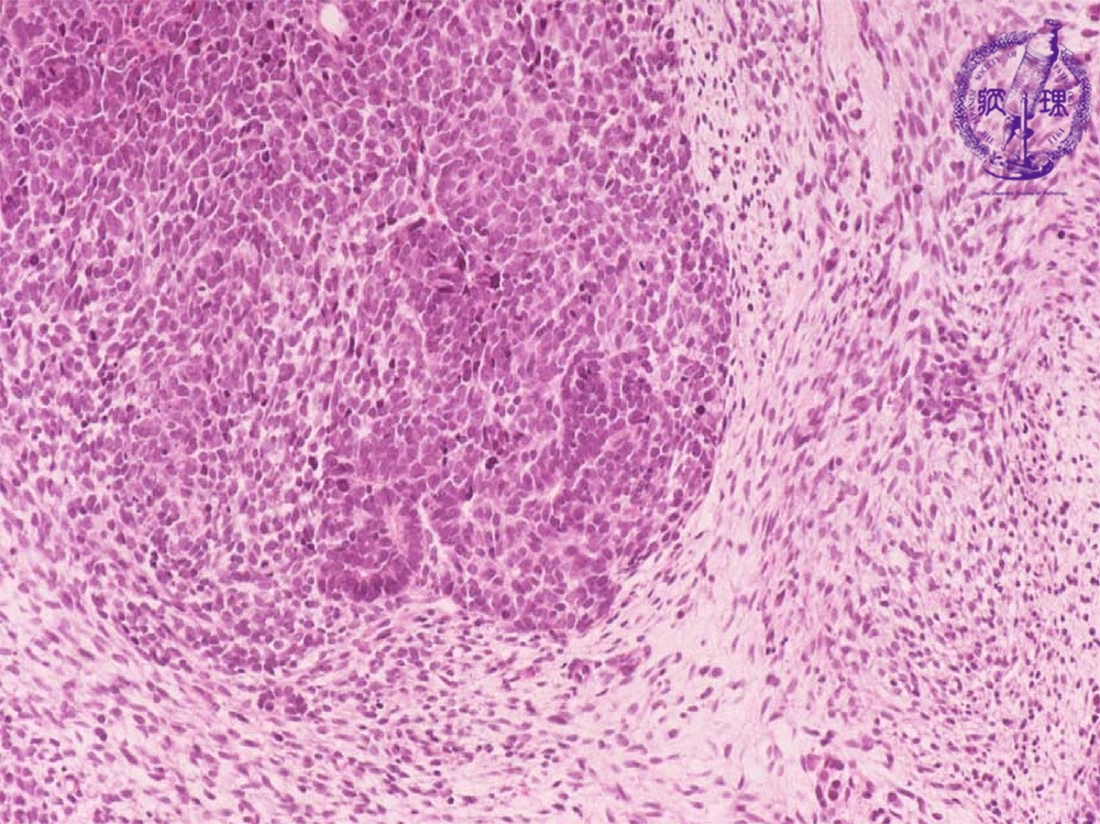
- (16)Nephroblastoma (Wilms tumor)
Microscopic findings ( HE, middle power view): Th tumor is composed of (1) blastemal, (2) organoid and (3) stromal elements (each shown by dotted lines).
Click the image to see the enlarged image.













