- 12.Kidney and Urinary System
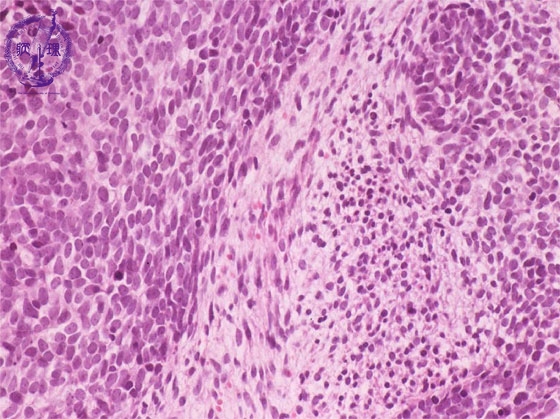
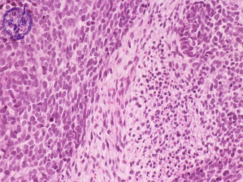
- (16)Nephroblastoma (Wilms tumor)
Microscopic findings ( HE, high power view): The blastemal element (red dotted lines) is composed of small, homogenous and immature tumor cells with scanty cytoplasm. In the stromal element, tumor cells are spindle in shape and loosely arranged (blue dotted line).
Click the image to see the enlarged image.













