- 12.Kidney and Urinary System
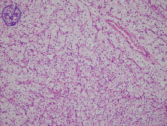
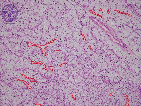
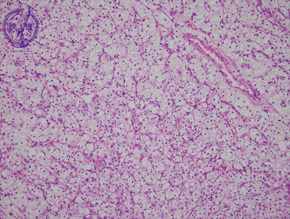
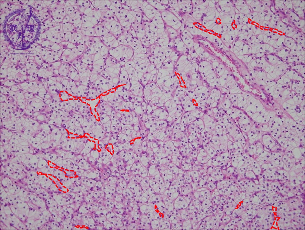
- ★(17)Renal cell carcinoma
Microscopic findings ( HE, middle power view): Renal cell carcinoma (clear cell carcinoma). The tumor cells are arranged in an alveolar manner associated with a fine sinusoid-like capillary network (red dotted lines).
Click the image to see the enlarged image.













