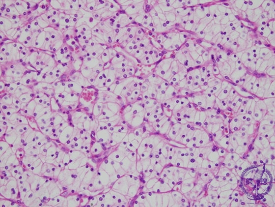
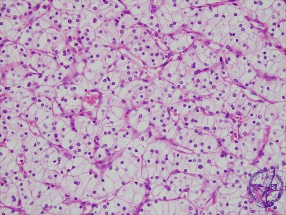
Microscopic findings (HE, high power view): Renal cell carcinoma (clear cell carcinoma). The tumor cells possess clear cytoplasm containing abundant glycogen and lipid.

Click the image to see the enlarged image.

  • There is no guidance by arrows.