- 12.Kidney and Urinary System
- (18)Angiomyolipoma(Tuberous sclerosis)
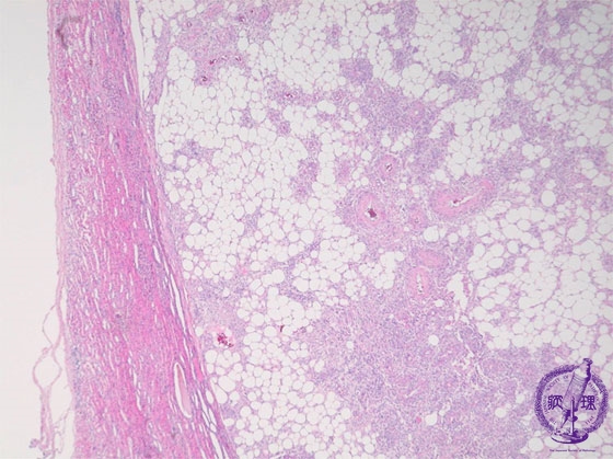
Microscopic findings ( HE, low power view): The tumor is clearly bordered (yellow dotted line) with adjacent compressed renal parenchyma.
Click the image to see the enlarged image.
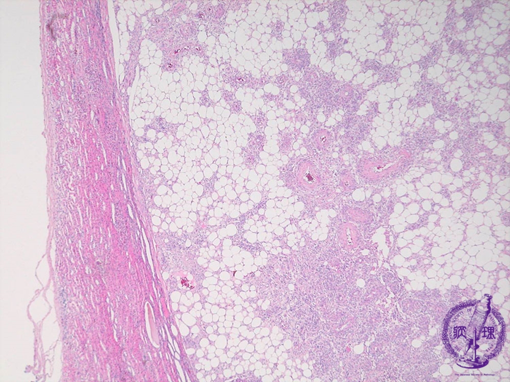
Microscopic findings ( HE, low power view): The tumor is clearly bordered (yellow dotted line) with adjacent compressed renal parenchyma.
Click the image to see the enlarged image.