- 12.Kidney and Urinary System
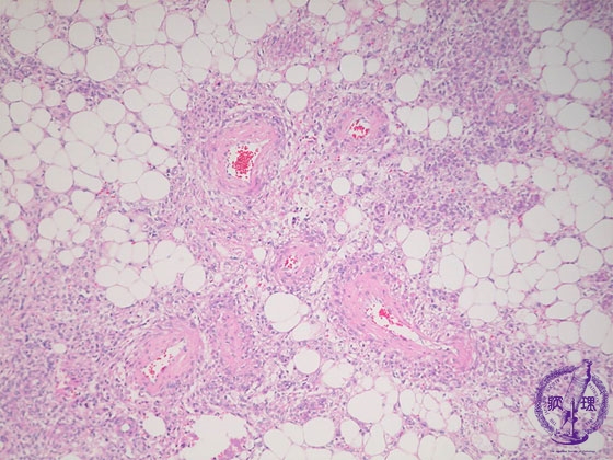
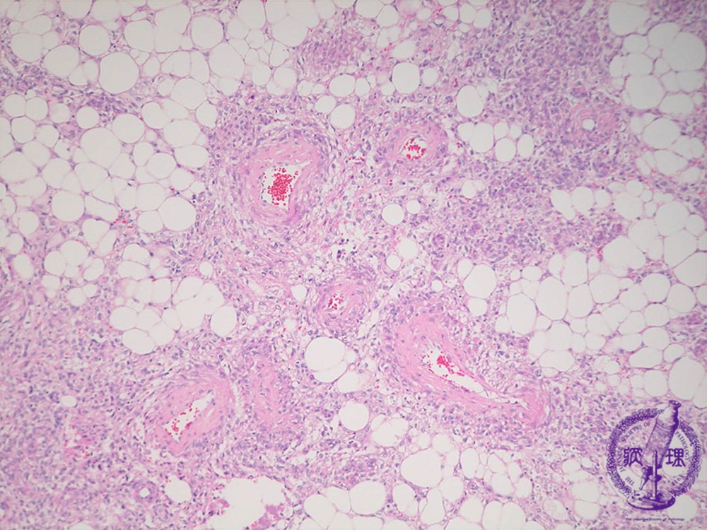
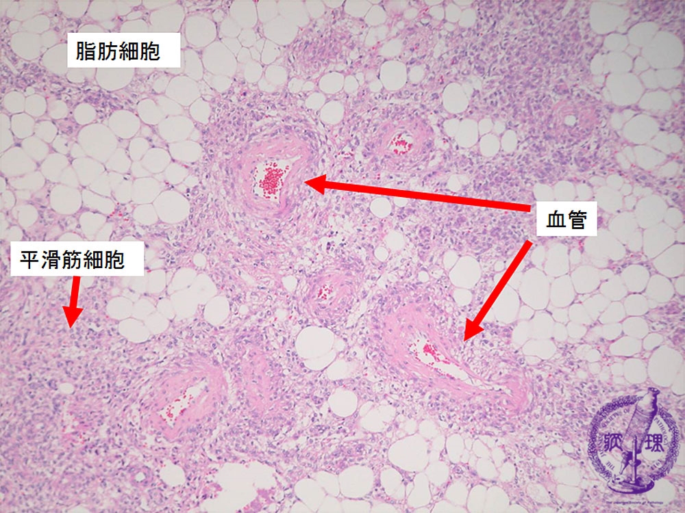
- (18)Angiomyolipoma(Tuberous sclerosis)
Microscopic findings ( HE, middle power view): The tumor contains adipose tissue, thick-walled blood vessels and smooth muscle-like spindle cells.
Click the image to see the enlarged image.













