- 12.Kidney and Urinary System
- (19)Cystitis
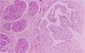
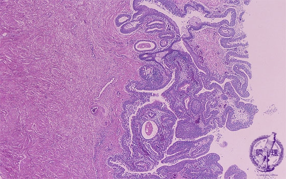
Microscopic findings (HE, high power view): Cystitis glandularis. The urothelial (transitional epithelial) cells present glandular metaplasia. The epithelia form cystic dilated space to form a gland-like space. Occasionally, these spaces contain mucus materials.
Click the image to see the enlarged image.









