- 12.Kidney and Urinary System
- (19)Cystitis
Microscopic findings (HE, high power view): Cystitis cystica. The von Brunn’s nests are dilated to form cystic lesions (yellow arrows).
Click the image to see the enlarged image.
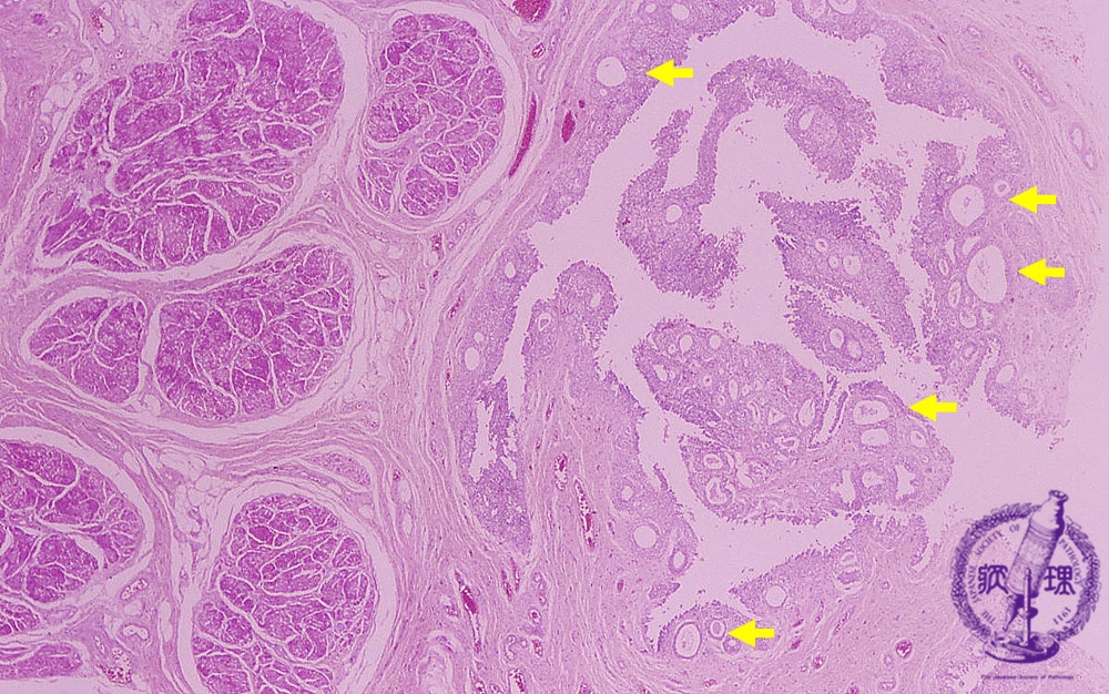
Microscopic findings (HE, high power view): Cystitis cystica. The von Brunn’s nests are dilated to form cystic lesions (yellow arrows).
Click the image to see the enlarged image.