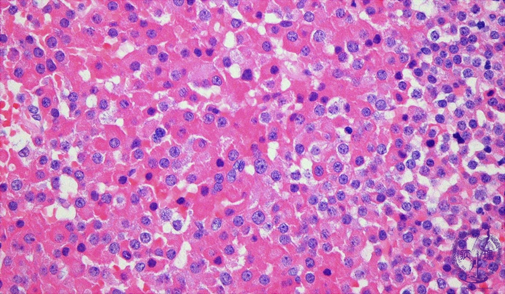
Microscopic findings (HE stain, high power view). Growth hormone producing pituitary adenoma. Tumor cells with eosinophilic cytoplasm are arranged in sheet-like architecture.

Click the image to see the enlarged image.

  • There is no guidance by arrows.