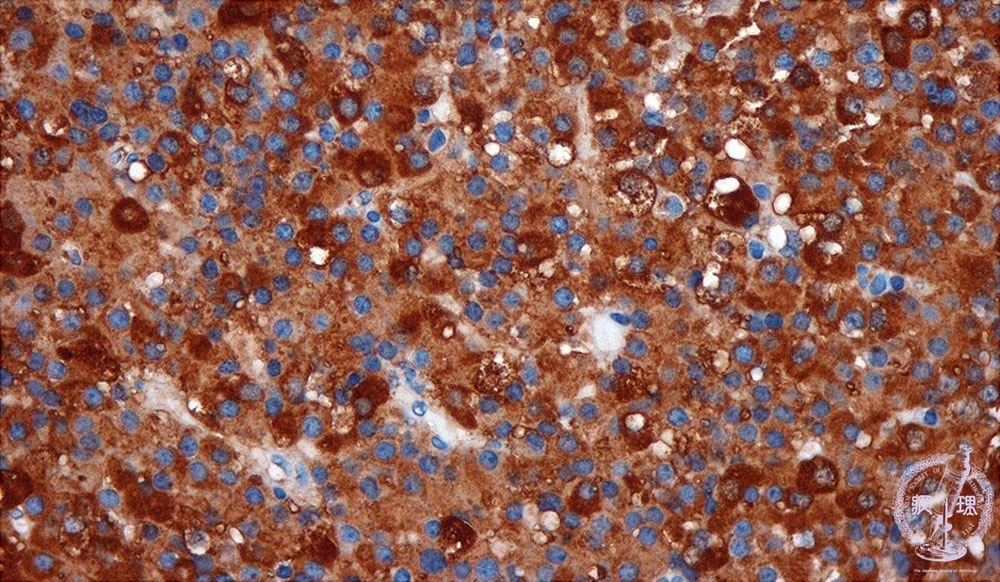
Microscopic findings. Immunohistochemistry demonstrated cytoplasmic immunoreactivity of growth hormone in the tumor cells.

Click the image to see the enlarged image.

  • There is no guidance by arrows.