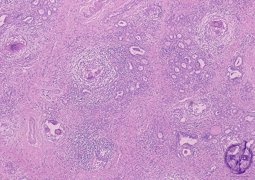
- 13.Endocrine
- (3)Subacute thyroiditis
Microscopic findings (HE stain, low power view). Lymphocytic infiltration, atrophic thyroid follicles, fibrosis, and granulomas with multinucleated giant cells (dotted line), are observed in the thyroid.
Click the image to see the enlarged image.












