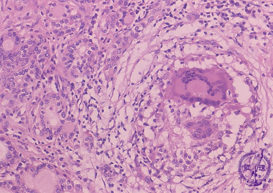
Microscopic findings (HE stain, high power view). Granulomas are composed of foreign body giant cells, epithelioid cells, and lymphocytes. Giant cells contained phagocytized colloid material.

Click the image to see the enlarged image.

  • There is no guidance by arrows.