- 13.Endocrine
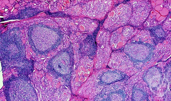
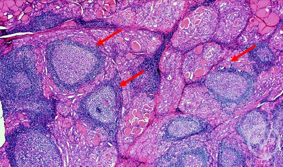
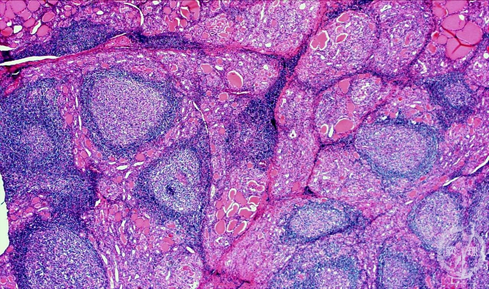
- ★(4)Chronic thyroiditis (Hashimoto disease)
Microscopic findings (HE stain, low power view). Lymphoid follicles (arrows) with germinal center and atrophic thyroid follicles are apparent in the thyroid.
Click the image to see the enlarged image.














