- 13.Endocrine
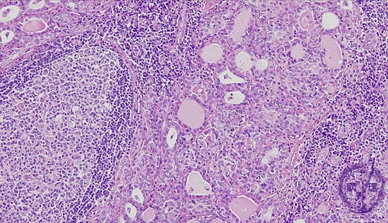
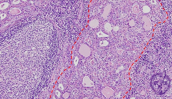
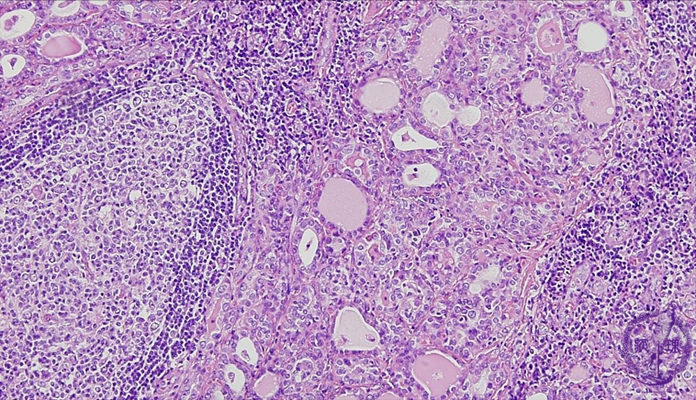
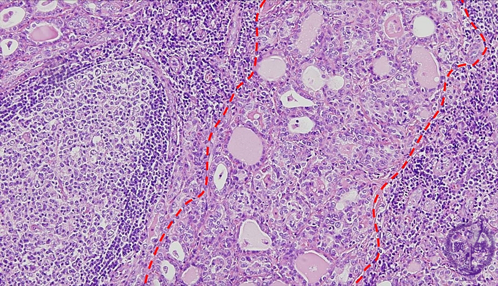
- ★(4)Chronic thyroiditis (Hashimoto disease)
Microscopic findings (HE stain, middle power view). Marked lymphocytic infiltrations, lymphoid follicles, atrophic thyroid follicles (dotted -line) with associated decreases of colloid material, are detected.
Click the image to see the enlarged image.














