- 13.Endocrine
- ★(5)Graves disease
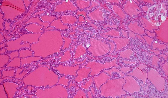
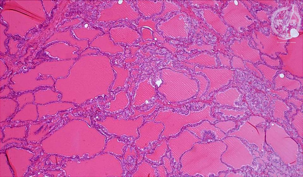
Microscopic findings (HE stain, low power view). Thyroid follicles with various sizes. A Scalloped (“moth-eaten”) appearance is apparent in the edge of the colloid.
Click the image to see the enlarged image.
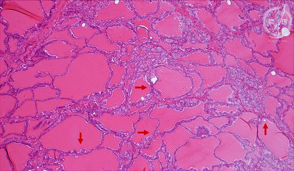
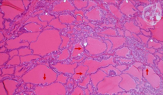
Microscopic findings (HE stain, low power view). Thyroid follicles with various sizes. A Scalloped (“moth-eaten”) appearance is apparent in the edge of the colloid.
Click the image to see the enlarged image.