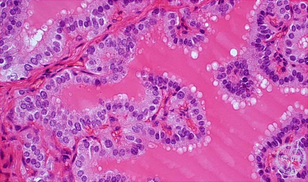
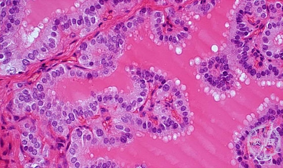
Microscopic findings (HE stain, high power view). Follicular cells are high-columnar in appearance and form papillary structures. Scalloped (gmoth-eatenh) colloids are also visible.

Click the image to see the enlarged image.

  • There is no guidance by arrows.