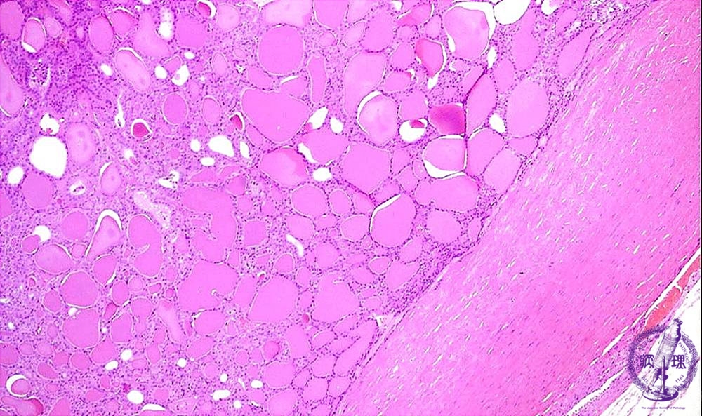
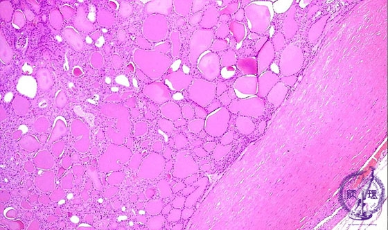
Microscopic findings (HE stain, low power view). The tumor is composed of small follicles and surrounded by thick fibrous capsule.

Click the image to see the enlarged image.

  • There is no guidance by arrows.