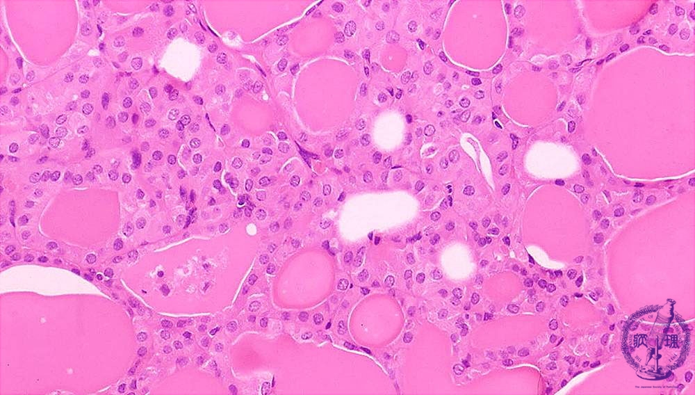
Microscopic findings (HE stain, high power view). Proliferation of small follicles. Nuclear atypia remains obscure.

Click the image to see the enlarged image.

  • There is no guidance by arrows.