- 13.Endocrine
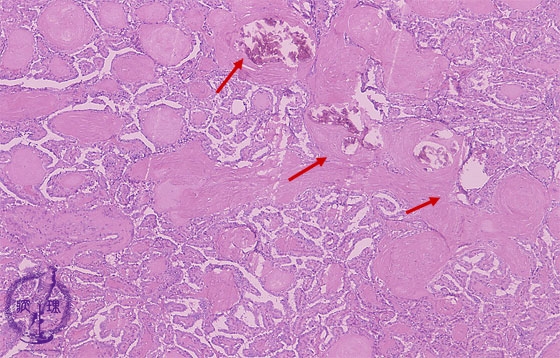
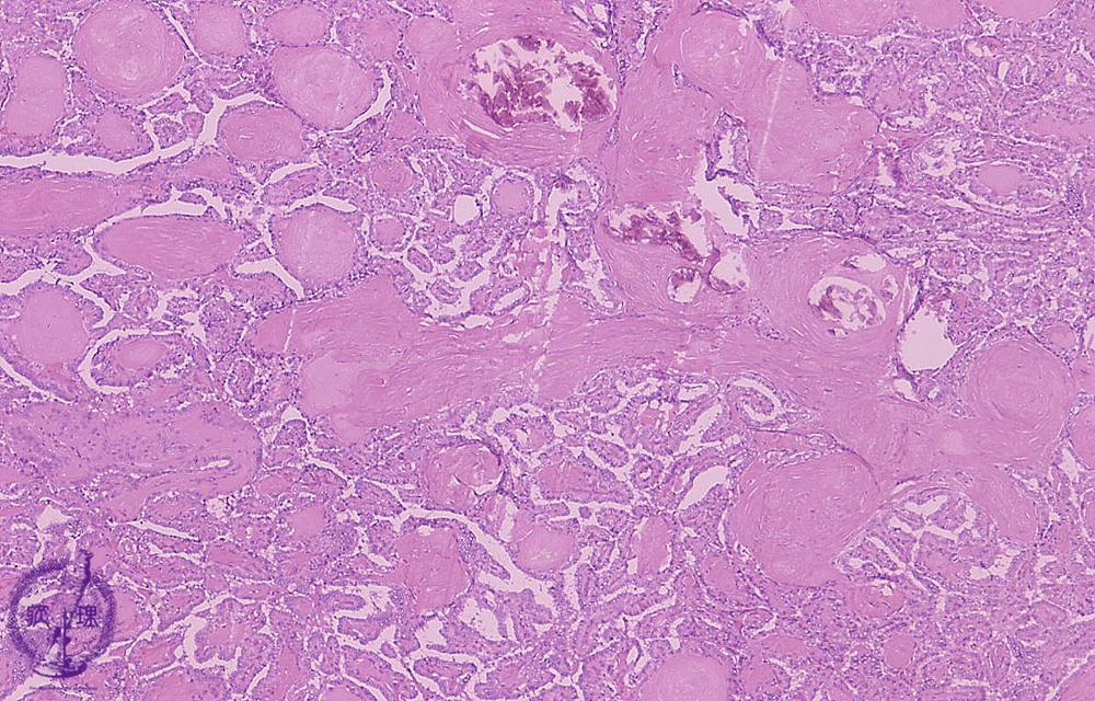
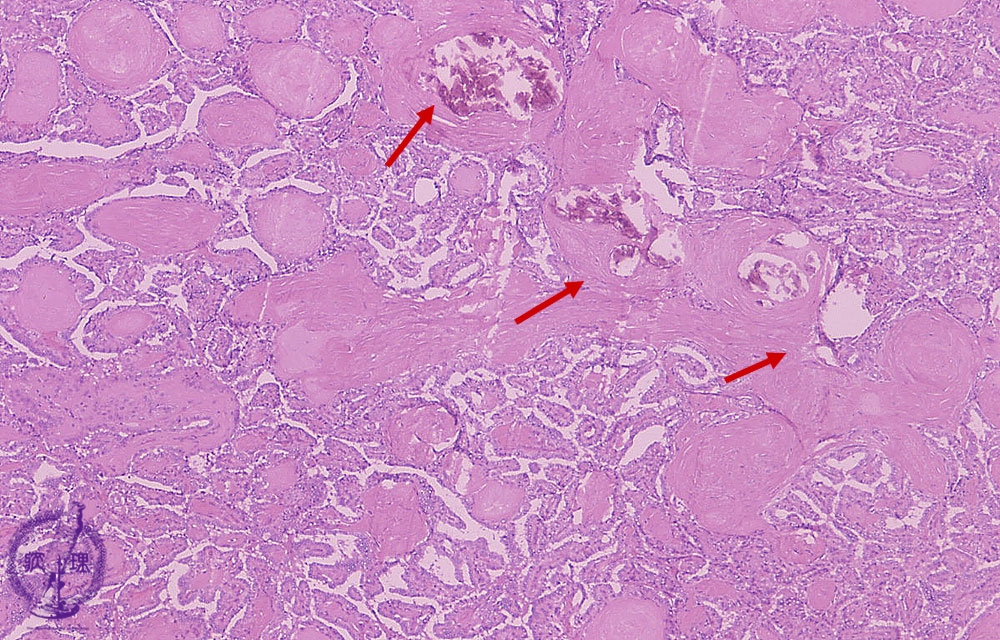
- ★(8)Papillary carcinoma of the thyroid
Microscopic findings (HE stain, low power). Papillary structures of tumor cells and calcification (arrows)
Click the image to see the enlarged image.
Microscopic findings (HE stain, low power). Papillary structures of tumor cells and calcification (arrows)
Click the image to see the enlarged image.