- 13.Endocrine
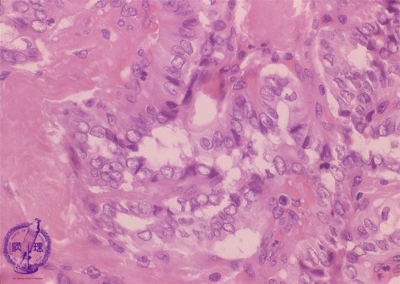
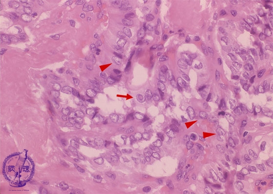
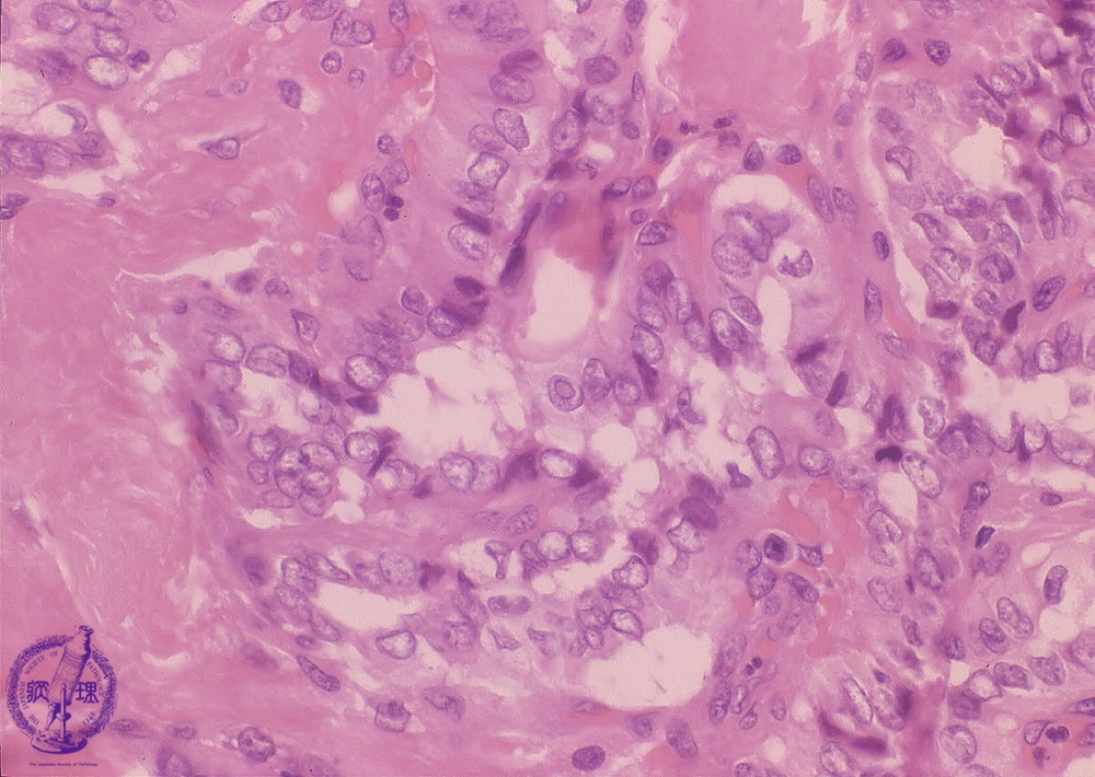
- ★(8)Papillary carcinoma of the thyroid
Microscopic findings (HE stain, high power view). Ground glass nuclei, nuclear grooves (arrow heads), and intranuclear cytoplasmic inclusions (arrows) are all apparent and are distinctive nuclear features of papillary carcinoma.
Click the image to see the enlarged image.














