- 13.Endocrine
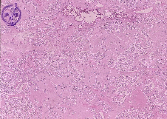
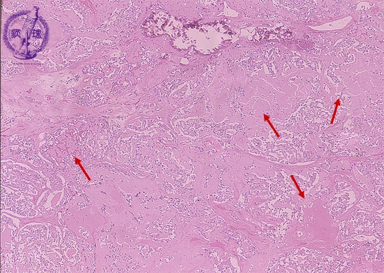
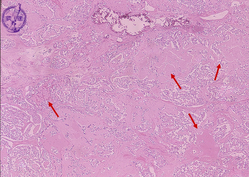
- (10)Medullary carcinoma of the thyroid
Microscopic findings (HE stain, low power view). The tumor cells are arranged in a solid or trabecular architecture. Deposition of amyloid (arrows) and calcification are visible in the tumor stroma.
Click the image to see the enlarged image.












