- 13.Endocrine
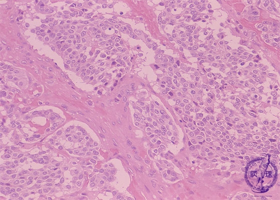
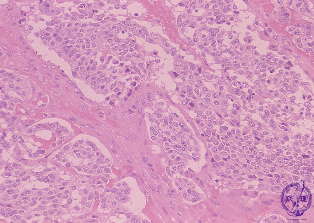
- (10)Medullary carcinoma of the thyroid
Microscopic findings (HE stain, high power view). Tumor cells are arranged in sheet-like architecture. Medullary carcinoma is associated with a wide variety of histology and the detection of calcitonin production is required for and eventual final diagnosis of medullary carcinoma
Click the image to see the enlarged image.









