- 13.Endocrine
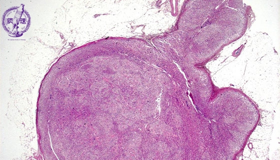
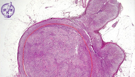
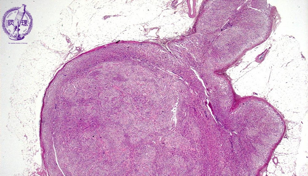
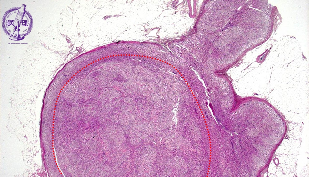
- (12)Adrenocortical hyperplasia/ nodule
Microscopic findings (HE stain, low power view). The nodule (dotted line) located in adrenal cortex. The boundary between the nodule and normal adrenal cortex is unclear.
Click the image to see the enlarged image.













