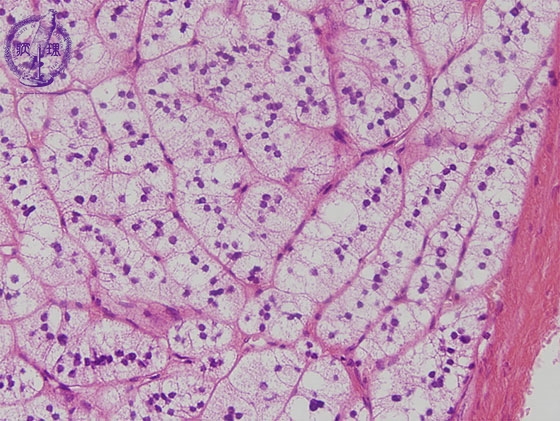
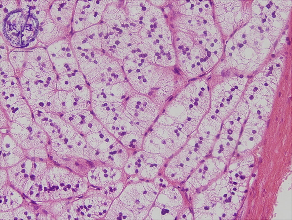
Microscopic findings (HE stain, middle power view). Clear cells with lipid-rich foamy cytoplasm arranged in an architectural pattern that simulates the zona glomerulosa cells of adrenal glands. Cellular atypia is obscure.

Click the image to see the enlarged image.

  • There is no guidance by arrows.