- 13.Endocrine
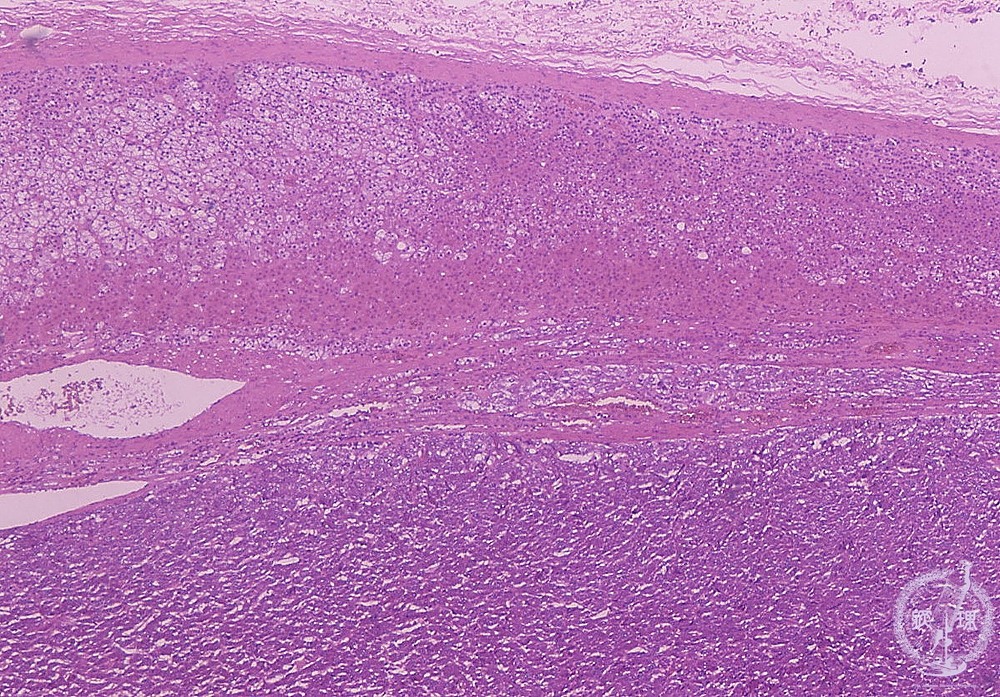
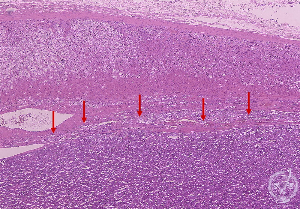
- ★(14)Pheochromocytoma
Microscopic findings (HE stain, low power view). Proliferation of the tumor cells (arrows) in the medulla of the adrenal gland.
Click the image to see the enlarged image.
Microscopic findings (HE stain, low power view). Proliferation of the tumor cells (arrows) in the medulla of the adrenal gland.
Click the image to see the enlarged image.