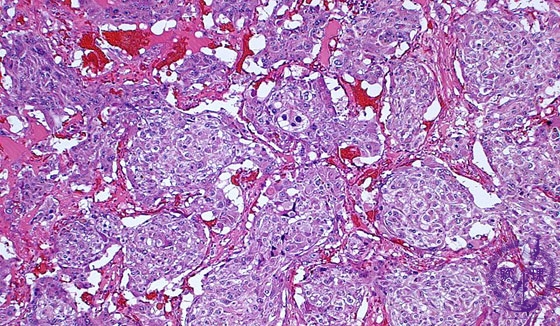
Microscopic findings (HE stain, middle power of view). The tumor cell nests surrounded by fibrovascular septa (also termed as gZellballenh), represent the characteristic architectural pattern of pheochromocytoma or intraadrenal parganglioma.

Click the image to see the enlarged image.

  • There is no guidance by arrows.