- 13.Endocrine
- (15)Pancreatic neuroendocrine tumor
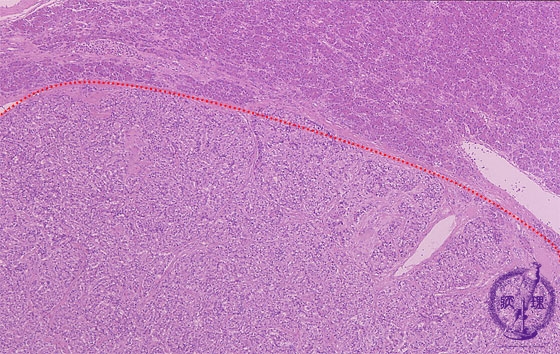
Microscopic findings (HE stain, low power view). Thin fibrous capsule present around the tumor (dotted line).
Click the image to see the enlarged image.
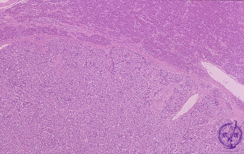
Microscopic findings (HE stain, low power view). Thin fibrous capsule present around the tumor (dotted line).
Click the image to see the enlarged image.