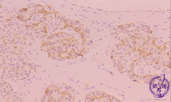
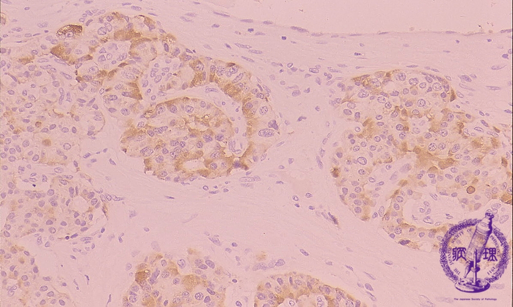
Microscopic findings (immunohistochemistry, high power view). The tumor cells are positive for chromogranin immunoreactivity (one of the key markers for neuroendocrine cells).

Click the image to see the enlarged image.

  • There is no guidance by arrows.