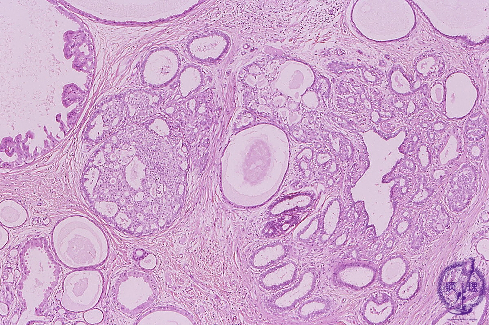
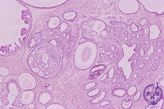
- 14.Breast
- (1)Mastopathy
Microscopic image(HE stain, low power view):Mastopathy is typically represented by a non-inflammatory/neoplastic lesion. Typically hormonal abnormalities are thought to be involved. Characterized by the concomitant proliferative and degenerative changes such as cyst formation, ductal hyperplasia, and sclerosing adenosis.
Click the image to see the enlarged image.










