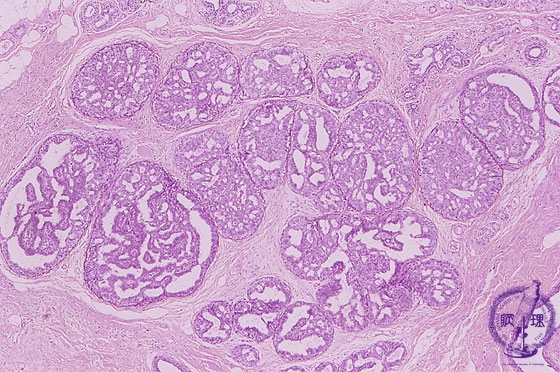
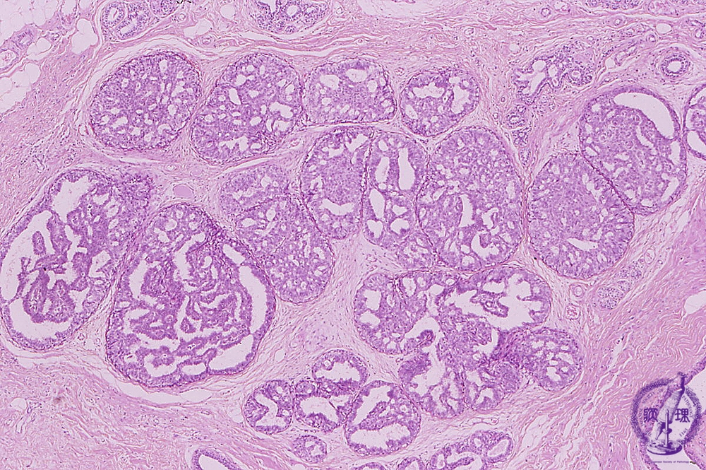
Microscopic image(HE stain, low power view):Ductal hyperplasia. Proliferating epithelium filled peripheral ducts. The differential diagnosis from carcinoma can be difficult, especially when the biphasic patterns are unclear.

Click the image to see the enlarged image.

  • There is no guidance by arrows.