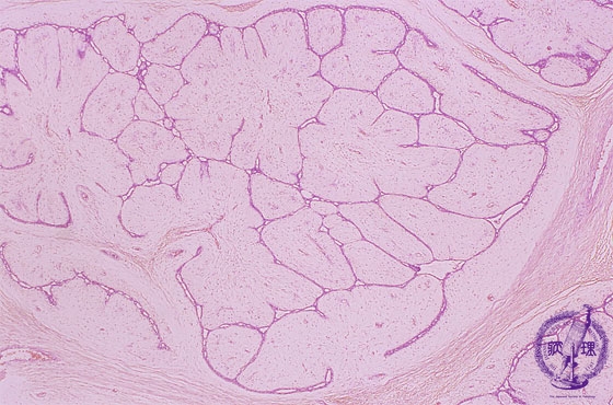
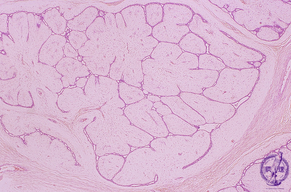
• 14.Breast
  • š(2)Fibroadenoma(intracanalicular type)

Microscopic image(HE stain, low power view):Associated with marked proliferation of stroma. Tumor epithelium proliferates within slit-like or branching spaces among fibrous/edematous stroma.

Click the image to see the enlarged image.

  • There is no guidance by arrows.