- 14.Breast
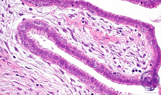
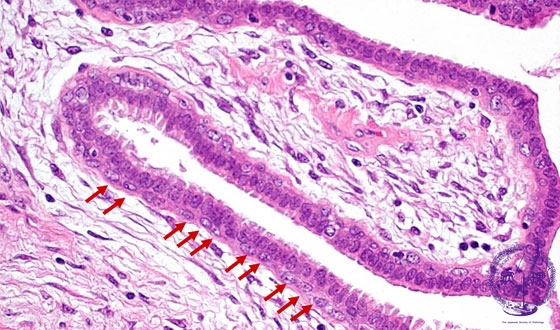
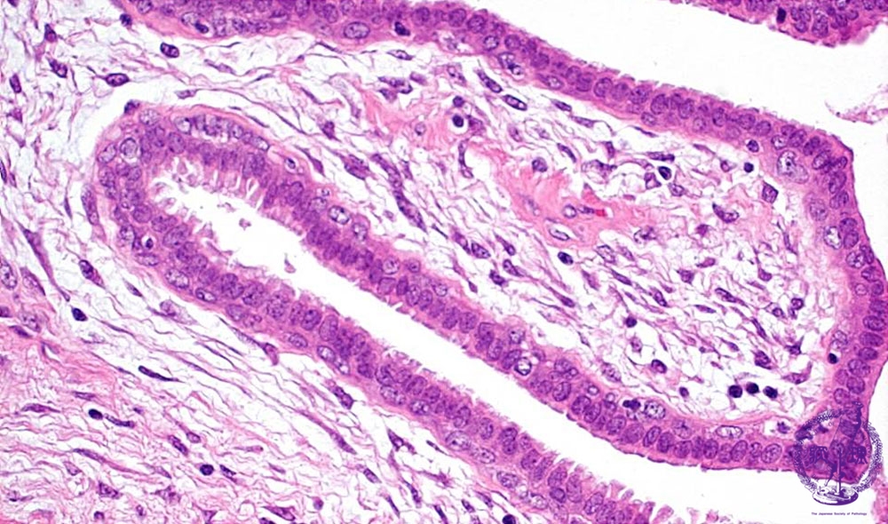
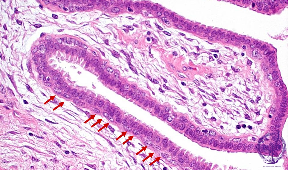
- ★(2)Fibroadenoma(intracanalicular type)
Microscopic image(HE stain, high power view):Tumor maintained distinctive bilayers of epithelial cells; 1)luminal columnar and 2) basal cells with clear cytoplasm (arrow). This finding usually suggestes a lesion that is benign in nature.
Click the image to see the enlarged image.













