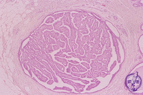
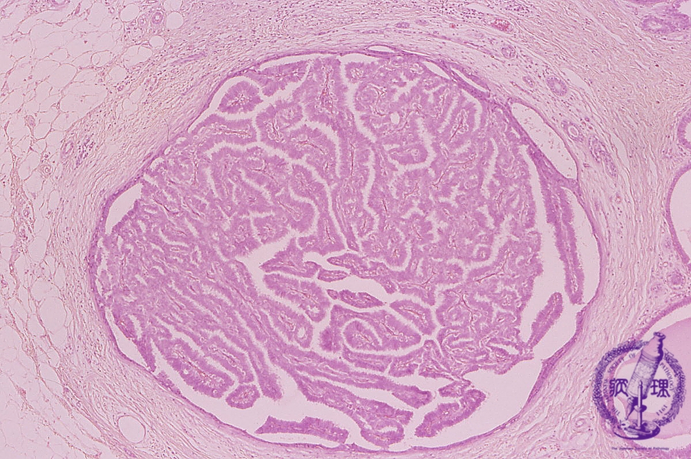
Microscopic image(HE stain, low power view):In mammmary ducts, tumor epithelium forms a projected papillary structure with fibrous core.

Click the image to see the enlarged image.

  • There is no guidance by arrows.