- 14.Breast
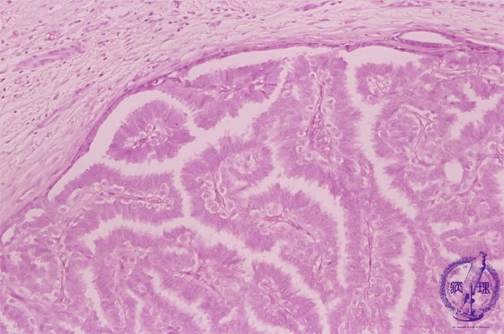
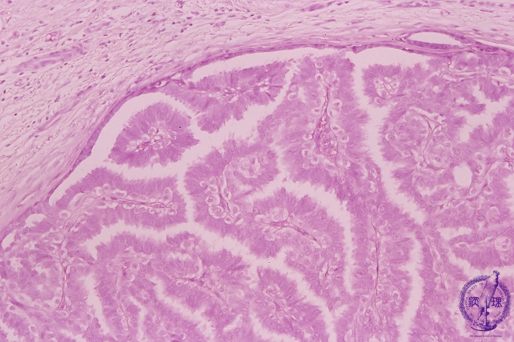
- (4)Intraductal papilloma
Microscopic image(HE stain, high power view):Proliferating epithelium maintains a double layer cansiting of of luminal dark cells and basal clear-colored large cells (myoepithelial cells). This maintenance of epithelial double layers important differential diagnostic parameter from carcinoma.
Click the image to see the enlarged image.












