- 14.Breast
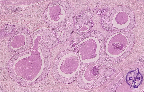
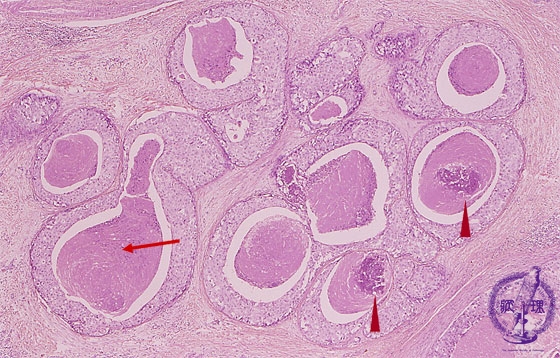
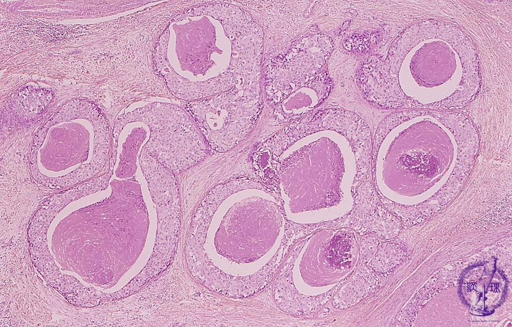
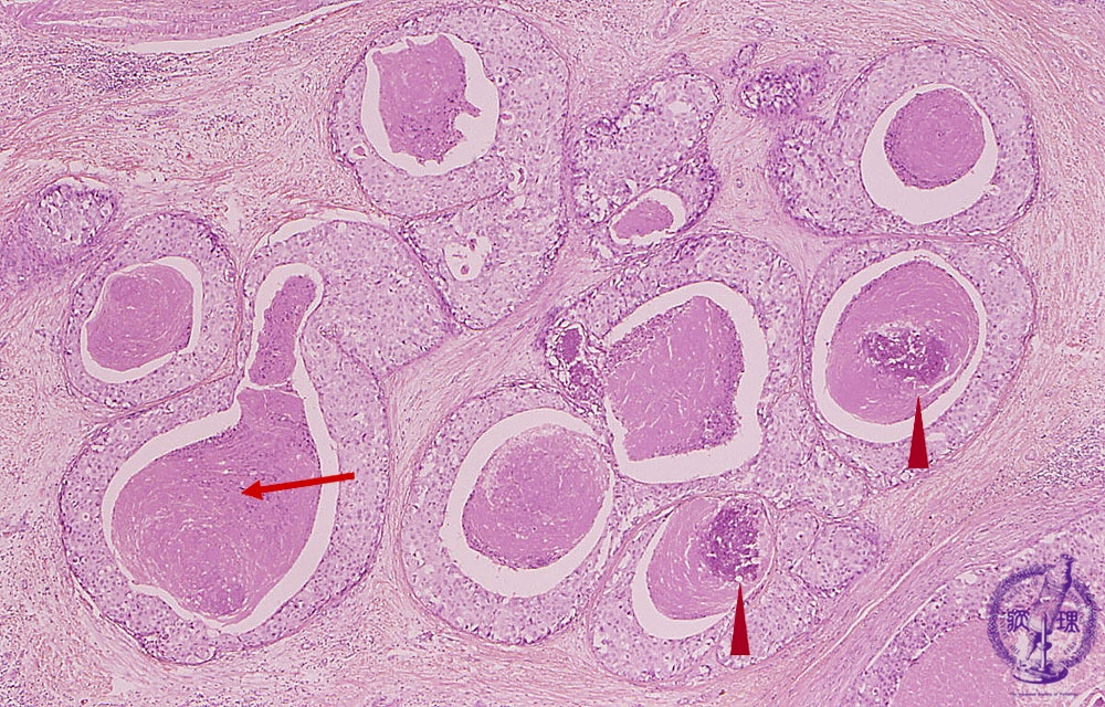
- ★(5)noninvasive carcinoma (comedo type)
Microscopic image(HE stain, low power view):Intraductal spreading carcinoma demonstrating comedo-like central necrosis within cell nests. Sometimes necrosis accompanied by calcification (arrow head).
Click the image to see the enlarged image.













