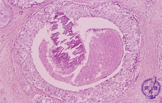
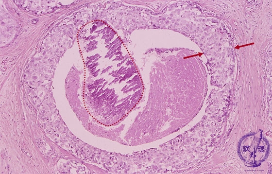
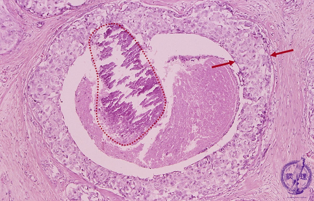
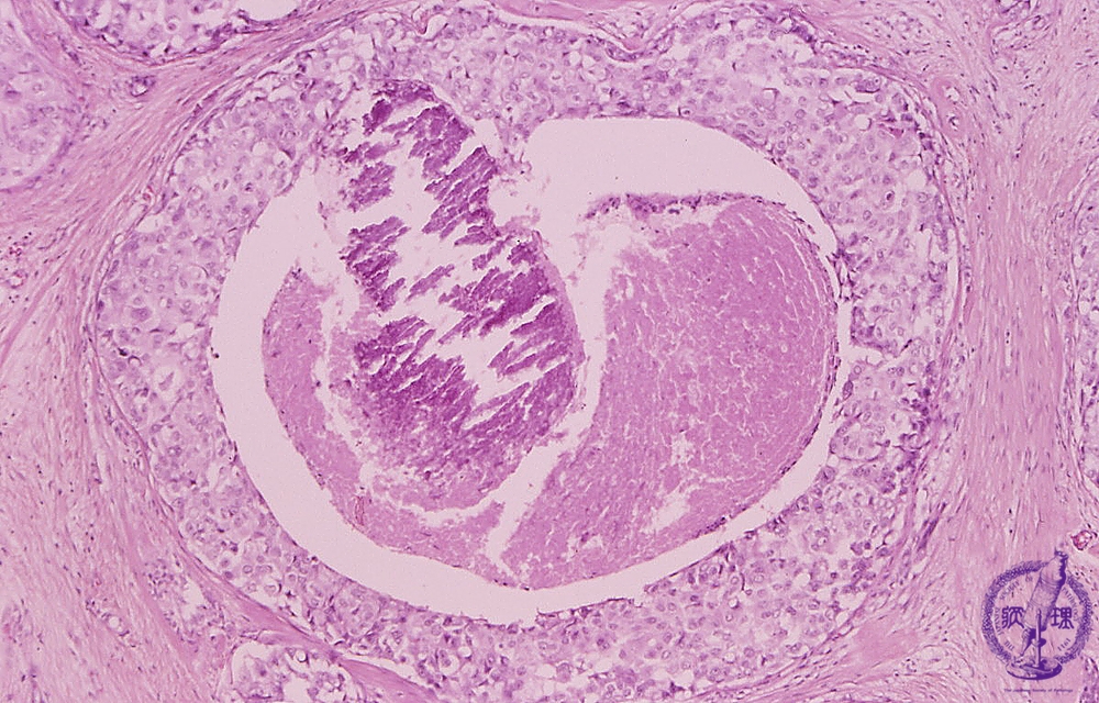
- 14.Breast
- ★(5)noninvasive carcinoma (comedo type)
Microscopic image(HE stain, high power view):Large carcinoma cells piled up to several layers filling ductal lumen (arrow). Central necrosis and necrotic calcification (dotted line) are also apparant.
Click the image to see the enlarged image.













