- 14.Breast
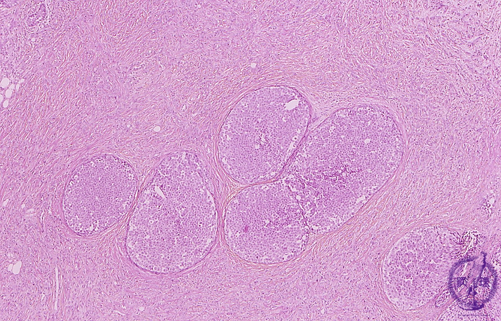
- (7)Invasive lobular carcinoma
Microscopic image(HE stain, low power view):Tumor cells are found in a solid manner in the center of the lesion and diffusely infiltrated into adjacent stroma. Stromal invasion unclear at low power view.
Click the image to see the enlarged image.












